Estetik Diş Dolgusu

Bülent Keskin

Mart 24, 2026

Estetik Diş Dolgusu

Gülüş tasarımı ve modern diş hekimliğinin temel taşlarından biri olan estetik diş dolgusu, dişin doğal formunu, rengini ve fonksiyonunu geri kazandırmayı amaçlayan bir restorasyon yöntemidir.

Devamını Okuyunimage
Siyah Dolgu Değişimi

Bülent Keskin

Mart 24, 2026

Siyah Dolgu Değişimi

Halk arasında siyah dolgu olarak bilinen amalgam dolguların değişimi, günümüzde hem estetik kaygılar hem de restoratif yenilikler nedeniyle sıkça tercih edilen bir işlemdir.

Devamını Okuyunimage
Civasız Diş Dolgusu

Bülent Keskin

Mart 24, 2026

Civasız Diş Dolgusu

Modern diş hekimliğinde biyouyumluluk, tedavi süreçlerinin en önemli kriterlerinden biri haline gelmiştir. Civasız diş dolgusu kavramı, geleneksel amalgam dolguların içeriğinde bulunan cıva elementine alternatif olarak geliştirilen, genellikle kompozit reçine veya seramik bazlı materyallerden oluşan restorasyonları ifade eder.

Devamını Okuyunimage
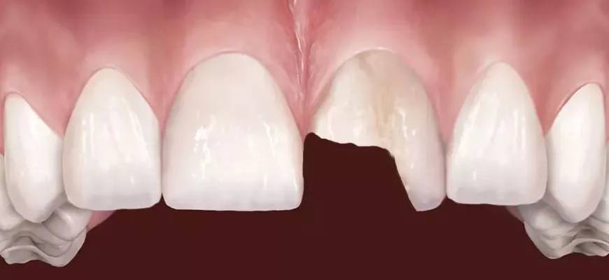
Kırık Diş Onarımı

Bülent Keskin

Mart 24, 2026

Kırık Diş Onarımı

Dişlerde meydana gelen kırılmalar; travma, sert gıdaların tüketilmesi veya fark edilmeyen derin çürüklerin diş yapısını zayıflatması sonucu oluşabilir. Kırık diş onarımı, dişin hem fonksiyonel çiğneme kapasitesini geri kazandırmak hem de estetik bütünlüğü sağlamak amacıyla uygulanan restoratif bir süreçtir

Devamını Okuyunimage
Diş Hassasiyeti Tedavisi

Bülent Keskin

Mart 24, 2026

Diş Hassasiyeti Tedavisi

Günlük hayatta sıcak, soğuk, tatlı veya ekşi gıdalar tüketilirken hissedilen ani ve keskin sızı, diş hassasiyeti olarak tanımlanır.

Devamını Okuyunimage
Metal Dolgu Değişimi

Bülent Keskin

Mart 24, 2026

Metal Dolgu Değişimi

Geçmiş yıllarda diş hekimliğinin en yaygın restorasyon materyali olan metal (amalgam) dolgular, dayanıklılıklarıyla bilinse de günümüzde yerlerini daha modern ve biyouyumlu materyallere bırakmaktadır.

Devamını Okuyunimage
Beyaz Diş Dolgusu

Bülent Keskin

Mart 24, 2026

Beyaz Diş Dolgusu

Diş hekimliğinde estetik ve fonksiyonelliği bir araya getiren en yaygın restorasyon yöntemi beyaz diş dolgusudur.

Devamını Okuyunimage
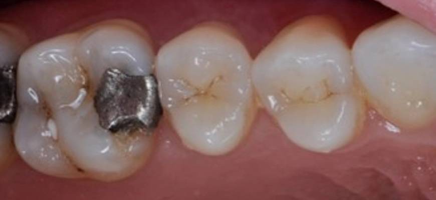
Amalgam Dolgu Değişimi

Bülent Keskin

Mart 24, 2026

Amalgam Dolgu Değişimi

Diş hekimliğinde uzun yıllar boyunca dayanıklılığı nedeniyle tercih edilen amalgam dolgular, gümüş, bakır, kalay ve cıva alaşımından oluşur.

Devamını Okuyunimage
Cihangir Diş Hekimi

Bülent Keskin

Ağustos 21, 2025

Cihangir Diş Hekimi

Dişin sinir dokusuna kadar ilerlemiş çürükler veya travmalar sonucu oluşan şiddetli ağrıları, modern endodontik sistemlerle gerçekleştirdiğimiz kanal tedavisi ile sonlandırıyoruz.

Devamını Okuyunimage
Yeniköy Diş Hekimi

Bülent Keskin

Ağustos 21, 2025

Yeniköy Diş Hekimi

Ayrıca, çürük tedavisinde kullandığımız estetik diş dolgusu materyalleri, dişin doğal dokusuyla bütünleşerek hem sağlıklı hem de estetik bir sonuç ortaya koyar.

Devamını Okuyunimage
Maçka Diş Hekimi

Bülent Keskin

Ağustos 21, 2025

Maçka Diş Hekimi

Kliniğimizde yapılan diş dolgusu işlemleri bile, birer estetik restorasyon olarak kabul edilir; renk ve form uyumu en üst düzeyde sağlanarak doğal dişten ayırt edilemez sonuçlar elde edilir.

Devamını Okuyunimage
Zincirlikuyu Diş Hekimi

Bülent Keskin

Ağustos 21, 2025

Zincirlikuyu Diş Hekimi

Çürük tedavisinde kullandığımız yüksek teknoloji diş dolgusu materyalleri, hızlıca uygulanabilir ve anında estetik sonuçlar vererek yoğun programınıza kesintisiz devam etmenize olanak tanır.

Devamını Okuyunimage
Harbiye Diş Hekimi

Bülent Keskin

Ağustos 21, 2025

Harbiye Diş Hekimi

Gece veya gündüz farkında olmadan yapılan diş sıkma eyleminin dişlerde yarattığı mikro çatlakları, aşınmaları ve kırıkları önlemek adına kişiye özel koruyucu plak tedavileri uyguluyoruz.

Devamını Okuyunimage
Akaretler Diş Hekimi

Bülent Keskin

Ağustos 21, 2025

Akaretler Diş Hekimi

En basit diş dolgusu işleminde bile, renk ve ışık yansıtma özellikleriyle doğal diş minesini birebir taklit eden kompozit materyaller kullanarak, yapılan tedavinin ayırt edilmesini imkansız hale getiriyoruz.

Devamını Okuyunimage
Bahçelievler Diş Hekimi

Bülent Keskin

Ağustos 19, 2025

Bahçelievler Diş Hekimi

Odaklandığımız tedavilerden biri olan diş sıkma (bruksizm) problemine karşı, dişlerinizi ve çene kaslarınızı rahatlatan kişiye özel gece plakları hazırlıyoruz.

Devamını Okuyunimage
Şirinevler Diş Hekimi

Bülent Keskin

Ağustos 19, 2025

Şirinevler Diş Hekimi

Birebir ilgi ve detaylı muayene prensibiyle çalışarak, en ideal tedavi planını sizinle birlikte oluşturuyoruz.

Devamını Okuyunimage
Yenibosna Diş Hekimi

Bülent Keskin

Ağustos 19, 2025

Yenibosna Diş Hekimi

Yıpranmış veya estetiğini kaybetmiş dişleriniz için sunduğumuz diş kaplama tedavileriyle, size hem fonksiyonel hem de estetik açıdan tatmin edici bir gülüş kazandırıyoruz.

Devamını Okuyunimage
Florya Diş Hekimi

Bülent Keskin

Ağustos 19, 2025

Florya Diş Hekimi

Kliniğimizde yapılan diş dolgusu işlemleri, yüksek estetik standartlarda olup, tedavi edildiği anlaşılmayacak kadar doğal bir görünüm sunar

Devamını Okuyunimage
Yeşilköy Diş Hekimi

Bülent Keskin

Ağustos 19, 2025

Yeşilköy Diş Hekimi

Doğal dişlerinizi koruma misyonumuzla, iltihaplı diş köklerini tedavi ettiğimiz kanal tedavisi uygulamalarını büyük bir hassasiyetle gerçekleştiriyoruz.

Devamını Okuyunimage
Sefaköy Diş Hekimi

Bülent Keskin

Ağustos 19, 2025

Sefaköy Diş Hekimi

En sık uyguladığımız tedavilerden olan kanal tedavisi ile ağrıyan dişlerinizi kurtarıyor ve uzun yıllar fonksiyon görmesini sağlıyoruz.

Devamını Okuyunimage
Küçükçekmece Diş Hekimi

Bülent Keskin

Ağustos 19, 2025

Küçükçekmece Diş Hekimi

Ayrıca, dişlere ve çene eklemine zarar veren diş sıkma alışkanlığı için kişiye özel tedavi yöntemleri ve koruyucu plaklar sunuyoruz.

Devamını Okuyunimage
Bağcılar Diş Hekimi

Bülent Keskin

Ağustos 19, 2025

Bağcılar Diş Hekimi

Ayrıca, çürükleri temizledikten sonra dişin doğal formunu ve rengini koruyan estetik diş dolgusu uygulamaları yapıyoruz.

Devamını Okuyunimage
Esenler Diş Hekimi

Bülent Keskin

Ağustos 19, 2025

Esenler Diş Hekimi

Günümüzün önemli sağlık sorunlarından biri olan diş sıkma (bruksizm) ve buna bağlı çene ağrıları için kişiye özel tedavi protokolleri ve koruyucu plaklar sunuyoruz.

Devamını Okuyunimage
Şişli Diş Hekimi

Bülent Keskin

Ağustos 19, 2025

Şişli Diş Hekimi

Kliniğimizde yapılan tüm diş dolgusu işlemleri, estetik ve fonksiyonelliği birleştiren modern materyallerle yapılmaktadır.

Devamını Okuyunimage
Osmanbey Diş Hekimi

Bülent Keskin

Ağustos 19, 2025

Osmanbey Diş Hekimi

Çürüklerin tedavisinde ise estetikten ödün vermeyen, doğal diş dokusuyla uyumlu diş dolgusu restorasyonları gerçekleştiriyoruz.

Devamını Okuyunimage
Levent Diş Hekimi

Bülent Keskin

Ağustos 19, 2025

Levent Diş Hekimi

Kliniğimizde yapılan tüm diş dolgusu işlemleri, estetik ve uzun ömürlü materyaller kullanılarak dişin doğal yapısına uyumlu bir şekilde tamamlanır.

Devamını Okuyunimage
Maslak Diş Hekimi

Bülent Keskin

Ağustos 19, 2025

Maslak Diş Hekimi

Çürük tedavisinde, minimal invaziv (en az doku kaybı) yaklaşımını benimsiyor ve estetik diş dolgusu uygulamalarıyla dişin sağlığını ve bütünlüğünü koruyoruz.

Devamını Okuyunimage
Beşiktaş Diş Hekimi

Bülent Keskin

Ağustos 19, 2025

Beşiktaş Diş Hekimi

Kliniğimizde yapılan tüm diş dolgusu uygulamaları, estetik beklentileriniz göz önünde bulundurularak, en kaliteli kompozit materyallerle gerçekleştirilir.

Devamını Okuyunimage
Mecidiyeköy Diş Hekimi

Bülent Keskin

Ağustos 19, 2025

Mecidiyeköy Diş Hekimi

Çürüklerin tedavisinde, hem sağlıklı hem de estetik açıdan tatmin edici sonuçlar veren modern diş dolgusu seçeneklerini sizlere sunuyoruz.

Devamını Okuyunimage
Güngören Diş Hekimi

Bülent Keskin

Ağustos 17, 2025

Güngören Diş Hekimi

Butik hizmet anlayışımızla her hastamıza hak ettiği zamanı ve özeni göstererek, kişisel tedavi planları oluşturuyoruz.

Devamını Okuyunimage
Zeytinburnu Diş Hekimi

Bülent Keskin

Ağustos 17, 2025

Zeytinburnu Diş Hekimi

Her hastamızın beklenti ve ihtiyaçlarını dinleyerek, tamamen kişiye özel bir tedavi rotası çiziyoruz.

Devamını Okuyunimage
İncirli Diş Hekimi

Bülent Keskin

Ağustos 17, 2025

İncirli Diş Hekimi

Sakin ve modern kliniğimizde, size özel ayrılan zamanda, tüm dikkatimizi sizin tedaviniz üzerine yoğunlaştırıyoruz.

Devamını Okuyunimage
Bakırköy Diş Hekimi

Bülent Keskin

Ağustos 17, 2025

Bakırköy Diş Hekimi

Diş kaplama alanında, zirkonyum ve tam porselen gibi biyolojik olarak uyumlu ve estetik açıdan üstün materyallerle doğal ve sağlıklı gülüşler tasarlıyoruz.

Devamını Okuyunimage
Kanal Tedavili Dişte Renk Değişimi Neden Olur ve Çözümü Var mıdır?

Bülent Keskin

Ağustos 6, 2025

Kanal Tedavili Dişte Renk Değişimi Neden Olur ve Çözümü Var mıdır?

Kanal tedavisi, dişin sinir ve damar dokusunu (pulpa) alarak dişi kurtaran bir işlemdir. Bu tedaviden sonra dişin fonksiyonu devam etse de, zamanla bazı dişlerde pembe, kahverengi, gri veya mat bir tona doğru renk değişimi gözlemlenebilir.

Devamını Okuyunimage
Kanal Tedavisi Yapılan Dişe Kaplama (Kuron) Ne Zaman Gerekir?

Bülent Keskin

Ağustos 6, 2025

Kanal Tedavisi Yapılan Dişe Kaplama (Kuron) Ne Zaman Gerekir?

Kanal tedavisi, dişin içindeki enfeksiyonu temizleyerek dişi kurtaran bir işlemdir. Tedavi tamamlandıktan sonraki en önemli adım ise, bu dişin fonksiyonunu ve dayanıklılığını uzun yıllar boyunca sürdürecek doğru restorasyonu yapmaktır.

Devamını Okuyunimage
Kanal Tedavisi Sonrası Geçici Dolgu Düşerse Ne Yapılmalı?

Bülent Keskin

Temmuz 1, 2025

Kanal Tedavisi Sonrası Geçici Dolgu Düşerse Ne Yapılmalı?

Bu dolgular, kalıcı dolgular kadar dayanıklı olmadıkları için bazen düşebilirler. Peki, böyle bir durumda panik yapmadan ne yapmak gerekir?

Devamını Okuyunimage
Çene Kilitlenmesi Neden Olur ve Tedavisi Nasıl Yapılır?

Bülent Keskin

Temmuz 1, 2025

Çene Kilitlenmesi Neden Olur ve Tedavisi Nasıl Yapılır?

"Çene kilitlenmesi" olarak bilinen bu durum, çene eklemi (temporomandibular eklem - TME) ve çevresindeki çiğneme kaslarıyla ilgili bir sorunun habercisidir.

Devamını Okuyunimage
Geceleri Diş Sıktığınızı Gösteren 7 İşaret

Bülent Keskin

Haziran 21, 2025

Geceleri Diş Sıktığınızı Gösteren 7 İşaret

Bruksizm, yani diş sıkma veya gıcırdatma, genellikle uyku sırasında farkında olmadan yapılan bir eylemdir. Pek çok insan, bir diş hekimi kontrolü sırasında dişlerindeki aşınmayı fark edene veya partneri gece çıkan sesten bahsedene kadar bu alışkanlığa sahip olduğundan habersizdir.

Devamını Okuyunimage
Kanal Tedavisi Tekrarı

Bülent Keskin

Haziran 10, 2025

Kanal Tedavisi Tekrarı" (Retreatment) Nedir ve Neden Gerekir?

İşte bu gibi durumlarda, dişi kurtarmak için ikinci bir şans sunan "kanal tedavisi tekrarı" veya diğer adıyla "retreatment" prosedürü gündeme gelir.

Devamını Okuyunimage
Kanal Tedavisi Yapılan Dişin Ömrü Ne Kadardır?

Bülent Keskin

Haziran 1, 2025

Kanal Tedavisi Yapılan Dişin Ömrü Ne Kadardır?

Bu sorunun net ve tek bir cevabı olmasa da, kanal tedavisi görmüş bir dişin ömrünü etkileyen birçok faktör bulunmaktadır. İyi bir bakımla, bu dişler uzun yıllar boyunca ağızda sağlıklı bir şekilde hizmet verebilir.

Devamını Okuyunimage
Kanal Tedavisi Gerektiren Bir Dişi Anlamanın 5 Belirtisi

Bülent Keskin

Mayıs 20, 2025

Kanal Tedavisi Gerektiren Bir Dişi Anlamanın 5 Belirtisi

Diş ağrısı, günlük yaşam kalitesini ciddi şekilde etkileyebilen ve çoğu zaman altta yatan bir soruna işaret eden önemli bir sinyaldir.

Devamını Okuyunimage
Kanal Tedavisi Sonrası Nelere Dikkat Edilmelidir?

Bülent Keskin

Mayıs 6, 2025

Kanal Tedavisi Sonrası Nelere Dikkat Edilmelidir?

Kanal tedavisi, dişin iç kısmında bulunan enfekte veya hasar görmüş sinir dokusunun temizlenip, özel dolgu malzemeleriyle doldurulması işlemidir.

Devamını Okuyunimage
Çürük Dişlerde Kanal Tedavisi Ne Zaman Gerekir?

Bülent Keskin

Mayıs 6, 2025

Çürük Dişlerde Kanal Tedavisi Ne Zaman Gerekir?

Diş çürükleri, tedavi edilmediği takdirde zamanla derinleşerek dişin iç yapısına, yani pulpa dokusuna kadar ilerleyebilir.

Devamını Okuyunimage
Kök Kanal Tedavisi Yapılan Diş Neden Kırılabilir?

Bülent Keskin

Mayıs 6, 2025

Kök Kanal Tedavisi Yapılan Diş Neden Kırılabilir?

Bu işlem sayesinde diş ağızda tutulur, ancak bu dişin yapısı artık doğal sağlamlığını tam olarak koruyamaz. Bu nedenle kök kanal tedavisi yapılan dişin kırılması zamanla sık karşılaşılan bir durumdur.

Devamını Okuyunimage
Sporcular İçin Diş Sağlığının Önemi

Bülent Keskin

Nisan 8, 2025

Sporcular İçin Diş Sağlığının Önemi

Sporcuların genel sağlık durumu, performanslarını doğrudan etkiler. Ancak genellikle göz ardı edilen bir konu vardır: diş sağlığı.

Devamını Okuyunimage
Spor Yaparken Dişleri Nasıl Koruyabilirsiniz?

Bülent Keskin

Nisan 7, 2025

Spor Yaparken Dişleri Nasıl Koruyabilirsiniz?

Spor yapmak fiziksel ve ruhsal sağlığımız için oldukça faydalıdır. Ancak temaslı ya da yüksek tempolu sporlarla uğraşan bireylerde diş ve çene yaralanmaları riski artar.

Devamını Okuyunimage
Gelişmiş Teknolojilerle Kanal Tedavisi Nasıl Yapılır?

Bülent Keskin

Nisan 2, 2025

Gelişmiş Teknolojilerle Kanal Tedavisi Nasıl Yapılır?

Günümüzde diş hekimliğinde kullanılan ileri teknolojiler, kanal tedavisini hem daha konforlu hem de daha başarılı hale getirmiştir.

Devamını Okuyunimage
Kanal Tedavisi ile Diş Çekimi Arasındaki Farklar

Bülent Keskin

Mart 24, 2025

Kanal Tedavisi ile Diş Çekimi Arasındaki Farklar

Dişlerde ciddi hasar, çürük veya enfeksiyon olduğunda en sık karşılaşılan iki seçenek kanal tedavisi ve diş çekimidir.

Devamını Okuyunimage
Tek Seansta Kanal Tedavisi Mümkün mü?

Bülent Keskin

Mart 18, 2025

Tek Seansta Kanal Tedavisi Mümkün mü?

Ancak günümüzde gelişen teknoloji ve modern tedavi yaklaşımları sayesinde, tek seansta kanal tedavisi mümkün hale gelmiştir. Özellikle zaman problemi yaşayan hastalar için bu büyük bir avantajdır.

Devamını Okuyunimage
Bruksizm Kaynaklı Çene Ağrılarını Önlemenin 5 Etkili Yolu

Bülent Keskin

Mart 11, 2025

Bruksizm Kaynaklı Çene Ağrılarını Önlemenin 5 Etkili Yolu

Bruksizm, yani diş sıkma veya gıcırdatma, çene kaslarının aşırı çalışmasına neden olarak ciddi ağrılara yol açabilir.

Devamını Okuyunimage
Diş Sıkma Problemi İçin Gece Plağı mı, Botoks mu Daha Etkili?

Bülent Keskin

Mart 11, 2025

Diş Sıkma Problemi İçin Gece Plağı mı, Botoks mu Daha Etkili?

Diş sıkma (bruksizm), birçok kişinin farkında olmadan yaşadığı, uzun vadede diş sağlığını olumsuz etkileyen bir durumdur.

Devamını Okuyunimage
Horlama Tedavisi

Bülent Keskin

Şubat 16, 2025

Horlama Tedavisi

Horlama, çoğu zaman basit bir sorun gibi görünse de aslında ciddi sağlık problemlerinin habercisi olabilir. Üst solunum yollarındaki daralmalar sonucu oluşan titreşimler, horlamaya yol açar.

Devamını Okuyunimage
Horlama Plağı

Bülent Keskin

Şubat 16, 2025

Horlama Plağı

Horlama plağı, özellikle hafif ve orta dereceli horlama problemleri yaşayanlar için ideal bir tedavi yöntemidir. Diş hekimleri tarafından kişiye özel olarak hazırlanan bu apareyler, alt çeneyi öne doğru iterek hava yolunun açık kalmasını sağlar.

Devamını Okuyunimage
Uyku Apnesi Tedavisi

Bülent Keskin

Şubat 16, 2025

Uyku Apnesi Tedavisi

Uyku apnesi, uyku sırasında solunumun tekrarlayan şekilde durmasıyla karakterize edilen ciddi bir uyku bozukluğudur. Oksijen seviyesinin düşmesiyle beyin, kişiyi kısa süreliğine uyandırarak solunumun yeniden başlamasını sağlar.

Devamını Okuyunimage
Diş Sıkma Tedavisi

Bülent Keskin

Şubat 16, 2025

Diş Sıkma Tedavisi

Diş sıkma, çoğunlukla stres ve kaygı nedeniyle ortaya çıkan bir alışkanlıktır. Bruksizm olarak da bilinen bu durum, dişlerde aşınmalara, çene ekleminde ağrılara ve baş ağrılarına yol açabilir.

Devamını Okuyunimage
Diş Hekimliğinde Dijital Tarama

Bülent Keskin

Şubat 5, 2025

Diş Hekimliğinde Dijital Tarama

Dijital tarama, diş hekimliğinde bu yeniliklerin başında yer alır ve hem diş hekimlerinin hem de hastaların hayatını kolaylaştıran önemli bir araçtır.

Devamını Okuyunimage
Kanal Tedavisi ile Diş Çekiminin Önüne Geçin

Bülent Keskin

Şubat 5, 2025

Kanal Tedavisi ile Diş Çekiminin Önüne Geçin

Diş sağlığı, genel sağlıkla doğrudan ilişkilidir ve sağlıklı dişler, yaşam kalitesini artıran önemli unsurlardan biridir. Ancak, dişlerdeki ciddi hasarlar ve çürükler, zamanla daha büyük problemlere yol açabilir.

Devamını Okuyunimage
Sporcular İçin Diş Sağlığı

Bülent Keskin

Şubat 5, 2025

Sporcular İçin Diş Sağlığı

Sporcular, fiziksel performanslarını artırmak için çok çalışırken, sağlıklarının her yönüne dikkat etmeleri gerekir.

Devamını Okuyunimage
Diş Çürüklerini Önlemek İçin Çocuklara Özel Öneriler

Bülent Keskin

Ocak 21, 2025

Diş Çürüklerini Önlemek İçin Çocuklara Özel Öneriler

Çocukluk döneminde ağız ve diş sağlığı alışkanlıklarının kazanılması, hem sağlıklı dişlere sahip olmalarını sağlar hem de ileri yaşlarda karşılaşılabilecek sorunların önüne geçer.

Devamını Okuyunimage
Gece Plağı Kullanımı: Dişlerinizi Korumanın Önemi

Bülent Keskin

Ocak 15, 2025

Gece Plağı Kullanımı: Dişlerinizi Korumanın Önemi

Genellikle uyku sırasında gerçekleşen bu durum, dişlerinize ve çene yapınıza zarar verebilir. Gece plağı, bu zararları önlemek ve dişlerinizi korumak için etkili bir çözüm sunar.

Devamını Okuyunimage
Diş Taşı Temizliği: Ne Zaman ve Neden Yapılmalı?

Bülent Keskin

Ocak 15, 2025

Diş Taşı Temizliği: Ne Zaman ve Neden Yapılmalı?

Zamanla dişler üzerinde biriken plaklar sertleşerek diş taşlarına dönüşebilir. Diş taşı sadece estetik bir sorun değildir;

Devamını Okuyunimage
Diş Hekiminde Rutin Kontrolün Önemi

Bülent Keskin

Ocak 9, 2025

Diş Hekiminde Rutin Kontrolün Önemi

Diş sağlığı, genel sağlığımızın ayrılmaz bir parçasıdır. Ancak çoğumuz, diş hekimine yalnızca ağrı veya bir problem yaşadığımızda gitmeyi tercih ederiz.

Devamını Okuyunimage
Sporcular İçin Diş Koruyucuların Önemi

Bülent Keskin

Ocak 1, 2025

Sporcular İçin Diş Koruyucuların Önemi

Özellikle temas sporları veya sert darbelere maruz kalma riski taşıyan aktivitelerde, diş koruyucuları kullanmak sporcuların hem dişlerini hem de ağız yapılarını korumaları için son derece önemlidir.

Devamını Okuyunimage
Kanal Tedavisi ve Sonrasında Karşılaşılan Problemler

Bülent Keskin

Ocak 1, 2025

Kanal Tedavisi ve Sonrasında Karşılaşılan Problemler

Ancak tedavi sırasında veya sonrasında bazı problemler ortaya çıkabilir. Bu yazıda, kanal tedavisi sırasında ve sonrasında karşılaşılan yaygın problemleri ve çözüm yollarını ele alıyoruz.

Devamını Okuyunimage
Ön Dişe Kanal Tedavisi

Bülent Keskin

Aralık 21, 2024

Ön Dişe Kanal Tedavisi

Ön dişlere yapılan kanal tedavisi, genellikle diğer dişlerden biraz farklı bir yaklaşımla gerçekleştirilir. Bu yazıda, ön dişe kanal tedavisinin neden yapıldığı, süreçleri ve tedavi sonrası dikkat edilmesi gerekenler ele alınmaktadır.

Devamını Okuyunimage
Aynı Dişe 2 Kez Kanal Tedavisi Yapılır Mı?

Bülent Keskin

Aralık 16, 2024

Aynı Dişe 2 Kez Kanal Tedavisi Yapılır Mı?

Peki, aynı dişe ikinci kez kanal tedavisi yapılabilir mi? Evet, yapılabilir. İşte ikinci kez kanal tedavisine ihtiyaç duyulan durumlar ve tedavi süreci:

Devamını Okuyunimage
Hollywood Smile Kalıcı mı?

Bülent Keskin

Aralık 6, 2024

Hollywood Smile Kalıcı mı?

Hollywood Smile, estetik bir gülümseme elde etmek için yapılan diş tedavilerinin genel adıdır. Genellikle diş beyazlatma, porselen laminalar, diş eti düzenlemeleri ve eksik dişler için implant gibi işlemleri içerir.

Devamını Okuyunimage
Mikroskop Destekli Diş Hekimliği

Bülent Keskin

Kasım 28, 2024

Mikroskop Destekli Diş Hekimliği

Mikroskop destekli diş hekimliği, bu yeniliklerin başında gelir. Diş hekimliğinde mikroskop kullanımı, hem tanı hem de tedavi süreçlerinde hassasiyetin artırılmasını sağlamaktadır.

Devamını Okuyunimage
Sporcu Dişliği Nedir?

Bülent Keskin

Kasım 25, 2024

Sporcu Dişliği Nedir?

Spor yaparken fiziksel temas veya darbe riski bulunan spor dallarında, dişlerin ve çenenin korunması için kullanılan özel ağız koruyucularına sporcu dişliği denir.

Devamını Okuyunimage
Restoratif Diş Tedavisi

Bülent Keskin

Kasım 18, 2024

Restoratif Diş Tedavisi

Restoratif diş tedavisi, dişlerin sağlığını korumak, fonksiyonlarını yeniden kazandırmak ve estetik açıdan iyileştirmek amacıyla yapılan tedavi yöntemlerini kapsar.

Devamını Okuyunimage
Gece Plağı Nasıl Kullanılır?

Bülent Keskin

Kasım 12, 2024

Gece Plağı Nasıl Kullanılır?

Gece plağı, dişlerin birbiriyle temasını engelleyerek bu aşınmaları önler ve diş sağlığını korur. Peki, gece plağı nasıl kullanılır? İşte detaylar.

Devamını Okuyunimage
Kanal Tedavisi Zor Bir İşlem mi?

Bülent Keskin

Kasım 7, 2024

Kanal Tedavisi Zor Bir İşlem mi?

Peki, kanal tedavisi gerçekten zor bir işlem mi? Bu sorunun cevabı, birkaç farklı faktöre bağlıdır.

Devamını Okuyunimage
Kanal Tedavisi Ne Kadar Sürer?

Bülent Keskin

Kasım 2, 2024

Kanal Tedavisi Ne Kadar Sürer?

Kanal tedavisi, dişin içindeki enfekte ya da hasar görmüş pulpa dokusunun temizlenmesi, dezenfekte edilmesi ve ardından dolgu materyali ile doldurulması işlemidir.

Devamını Okuyunimage
Başarısız Kanal Tedavisi

Bülent Keskin

Ekim 31, 2024

Başarısız Kanal Tedavisi

Başarısız kanal tedavisi, işlem sonrasında ağrı, şişlik veya enfeksiyonun devam etmesi durumunda tanımlanır ve hastalar için oldukça rahatsızlık verici bir durumdur.

Devamını Okuyunimage
Uykuda Diş Gıcırdatma

Bülent Keskin

Ekim 27, 2024

Uykuda Diş Gıcırdatma

Uykuda diş gıcırdatma, tıbbi adıyla bruksizm, birçok insanın yaşadığı ancak farkında olmadığı yaygın bir sorundur. Genellikle uyku sırasında dişlerin sıkılması ve gıcırdatılması şeklinde gerçekleşir.

Devamını Okuyunimage
Bakırköy - Ataköy Diş Tedavisi

Bülent Keskin

Ekim 16, 2024

Bakırköy - Ataköy Diş Tedavisi

Bakırköy ve Ataköy diş tedavisi hizmetleri, hem diş sağlığınızı korumak hem de estetik açıdan sağlıklı bir gülüş elde etmenizi sağlamak için profesyonel olarak sunulmaktadır.

Devamını Okuyunimage
Bakırköy - Ataköy Kanal Tedavisi

Bülent Keskin

Ekim 16, 2024

Bakırköy - Ataköy Kanal Tedavisi

Bakırköy ve Ataköy kanal tedavisi hizmetleri, dişin iç kısmındaki hasarlı dokuların tedavi edilerek dişin kurtarılmasını sağlayan önemli bir diş hekimliği uygulamasıdır.

Devamını Okuyunimage
Spor Diş Hekimliği

Bülent Keskin

Eylül 15, 2024

Spor Diş Hekimliği

Spor diş hekimliği, atletlerin ağız ve diş sağlığını korumaya yönelik özel bir diş hekimliği alanıdır. Sporcuların fiziksel aktiviteleri sırasında ağız ve diş sağlığı üzerinde büyük bir etki olabilir.

Devamını Okuyunimage
Sigara Dişlere Zarar Verir mi?

Bülent Keskin

Temmuz 22, 2024

Sigara Dişlere Zarar Verir mi?

Sigara kullanımı, genel sağlığı olumsuz etkileyen bir alışkanlık olmasının yanı sıra, ağız ve diş sağlığı üzerinde de ciddi zararlar doğurur.

Devamını Okuyunimage
Diş Eklem Tedavisi

Bülent Keskin

Temmuz 19, 2024

Diş Eklem Tedavisi

Diş eklem tedavisi, günümüzde diş hekimliğinin önemli bir alanı olarak karşımıza çıkmaktadır.

Devamını Okuyunimage
Onlay Dolgu

Bülent Keskin

Temmuz 11, 2024

Onlay Dolgu

Onlay dolgu, genellikle diş minesinin ciddi şekilde hasar gördüğü veya büyük çürüklerin olduğu durumlarda kullanılır.

Devamını Okuyunimage
Kanal Tedavisi Neden Yapılır?

Bülent Keskin

Temmuz 9, 2024

Kanal Tedavisi Neden Yapılır?

Kanal tedavisi, dişin iç kısmında yer alan enfekte veya hasar görmüş pulpayı (sinir ve yumuşak doku) tedavi etmek amacıyla uygulanan bir dental prosedürdür.

Devamını Okuyunimage
Kanal Tedavisi

Bülent Keskin

Temmuz 5, 2024

Kanal Tedavisi

Kanal tedavisi, dişin içindeki enfekte veya hasar görmüş pulpaya (sinir ve yumuşak doku) müdahale ederek dişi kurtarmak için uygulanan bir diş tedavi yöntemidir.

Devamını Okuyunimage
Hollywood Gülüşü

Bülent Keskin

Haziran 25, 2024

Hollywood Gülüşü

Hollywood gülüşü, mükemmel bir estetik görünüm sunan, beyaz ve düzgün dişlerle karakterize edilen bir gülüş tasarımıdır.

Devamını Okuyunimage
Gülüş Tasarımı Nedir?

Bülent Keskin

Haziran 24, 2024

Gülüş Tasarımı Nedir?

Gülüş tasarımının temel amacı, kişinin gülüşünü estetik açıdan daha çekici hale getirirken aynı zamanda dişlerin işlevselliğini ve sağlığını korumaktır.

Devamını Okuyunimage
Estetik Diş Dolgusu

Bülent Keskin

Mayıs 30, 2024

Estetik Diş Dolgusu

Estetik diş dolgusu, modern diş hekimliğinin sunduğu en etkili ve estetik çözümlerden biridir. Diş çürükleri veya hasar görmüş dişlerin tedavisinde kullanılan bu dolgu türü, doğal diş renginde ve görünümünde olması nedeniyle giderek daha fazla tercih edilmektedir.

Devamını Okuyunimage
Horlama Tedavisi

Bülent Keskin

Mayıs 30, 2024

Horlama Tedavisi

Horlama, sadece sosyal ve yaşam kalitesi sorunlarına neden olmakla kalmaz, aynı zamanda ciddi sağlık problemlerinin de bir göstergesi olabilir.

Devamını Okuyunimage
Diş Hekimine Ne Sıklıkla Gidilmeli?

Bülent Keskin

Mayıs 20, 2024

Diş Hekimine Ne Sıklıkla Gidilmeli?

Genel olarak diş hekimleri, yılda iki kez yani altı ayda bir diş kontrolü yapılmasını önermektedir. Bu, olası sorunların erken teşhisi ve önlenmesi açısından önemli bir süre olarak kabul edilir.

Devamını Okuyunimage
Asitli İçeceklerin Dişlere Zararları

Bülent Keskin

Mayıs 20, 2024

Asitli İçeceklerin Dişlere Zararları

Asitli içecekler, günümüzde birçok insanın tükettiği popüler içecekler arasında yer almaktadır. Ancak, bu içeceklerin diş sağlığı üzerinde olumsuz etkileri bulunmaktadır.

Devamını Okuyunimage
Diş Sıkma Aparatları

Bülent Keskin

Mayıs 16, 2024

Diş Sıkma Aparatları

Diş sıkma, genellikle stres veya anksiyete gibi duygusal durumların bir sonucu olarak ortaya çıkan yaygın bir problemdir.

Devamını Okuyunimage
Uyurken Diş Sıkma

Bülent Keskin

Mayıs 13, 2024

Uyurken Diş Sıkma

Uyurken diş sıkma, birçok insanın karşılaştığı yaygın bir sorundur ve genellikle stres, anksiyete, öfke veya uyku bozuklukları gibi faktörlerden kaynaklanır.

Devamını Okuyunimage
Gece Plağı Nedir? Gece Plağı Nasıl Kullanılır?

Bülent Keskin

Mayıs 2, 2024

Gece Plağı Nedir? Gece Plağı Nasıl Kullanılır?

Gece plağı, bruxism olarak da bilinen diş gıcırdatma veya diş sıkma problemini tedavi etmek için kullanılan bir dental cihazdır.

Devamını Okuyunimage
Diş Sıkma Tedavisi

Bülent Keskin

Nisan 25, 2024

Diş Sıkma Tedavisi

Bruxism, genellikle bilinçsizce dişleri sıkma veya gıcırdatma olarak tanımlanan bir durumdur. Diş sıkma, dişlerde aşınmaya, çene ve baş ağrısına, uyku bozukluklarına ve diğer oral sağlık sorunlarına neden olabilir.

Devamını Okuyunimage
Diş Tedavisi Atakent

Bülent Keskin

Nisan 17, 2024

Diş Tedavisi Atakent

Atakent'te hizmet veren deneyimli diş hekimi Bülent Keskin ve kliniği, bölge halkının sağlıklı gülüşlere kavuşmasında önemli bir rol oynamaktadır.

Devamını Okuyunimage
Diş Ağrısı Nasıl Geçer?

Bülent Keskin

Nisan 15, 2024

Diş Ağrısı Nasıl Geçer?

Gün içinde aniden başlayan ve bizi hemen etkileyen ağrılardan biri de diş ağrısıdır. Diş ağrısı genellikle diş eti enfeksiyonları, çürükler veya diş eti çekilmeleri gibi sorunlardan kaynaklanır.

Devamını Okuyunimage
Kanal Tedavisi Atakent

Bülent Keskin

Nisan 9, 2024

Kanal Tedavisi Atakent

Kanal tedavisi, dişin iç kısmındaki enfeksiyonları veya hasarları tedavi etmek için uygulanan bir dental prosedürdür.

Devamını Okuyunimage
Diş Gıcırdatma Tedavisi

Bülent Keskin

Nisan 7, 2024

Diş Gıcırdatma Tedavisi

Diş gıcırdatma, tıbbi terimle bruksizm olarak bilinir ve birçok insanın yaşadığı yaygın bir durumdur.

Devamını Okuyunimage
Bruksizm (Diş Gıcırdatma)

Bülent Keskin

Mart 25, 2024

Bruksizm (Diş Gıcırdatma)

Diş gıcırdatma ve sıkma olarak da bilinen bruksizm, birçok insanın farkında olmadan yaşadığı bir rahatsızlıktır.

Devamını Okuyunimage